Achieve a Whiter Smile with Expert Teeth Whitening Services

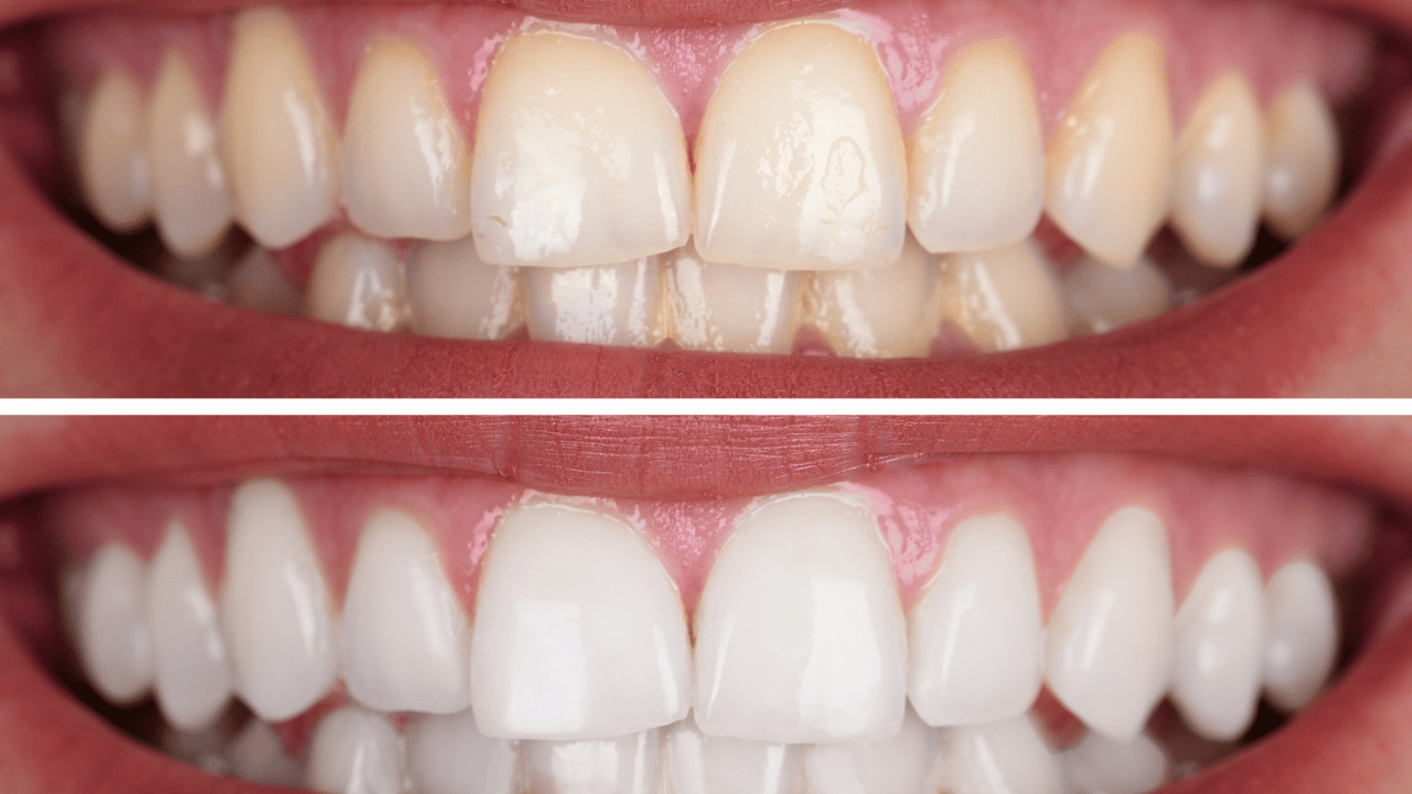
A bright, white smile is often associated with health, beauty, and confidence. Professional teeth whitening is a popular cosmetic dental procedure that can help you achieve that radiant smile. This comprehensive guide will explore the ins and outs of professional teeth whitening, including how it works, the different types available, and what you can expect during the procedure.

Many individuals struggle with stained or discolored teeth due to various factors such as diet, aging, or lifestyle choices. Professional teeth whitening offers a safe and effective solution to restore your smile's brightness. In this article, we will cover the key whitening agents used, the benefits of in-office treatments versus take-home kits, and essential aftercare tips to maintain your results.

TL;DR

  • Professional teeth whitening uses agents like hydrogen or carbamide peroxide to break down stains.

  • It offers stronger, faster, and safer results than over-the-counter products due to professional supervision.

  • Options include quick in-office treatments (e.g., Zoom) and gradual custom take-home kits.

  • The process involves consultation, treatment, and post-care instructions for optimal results.

  • Cost varies by treatment type and sessions, with flexible financing often available.

  • It's safe for sensitive teeth with proper management and desensitizing agents.

  • Maintain your bright smile by avoiding staining foods, practicing good oral hygiene, and using touch-up kits.

What Is Professional Teeth Whitening and How Does It Work?

Professional teeth whitening is a cosmetic dental procedure designed to lighten the color of your teeth and remove stains. This process typically involves the application of a whitening agent, such as hydrogen peroxide or carbamide peroxide, which penetrates the enamel to break down stains and discoloration. The result is a noticeably brighter smile that can enhance your overall appearance and boost your confidence.

What Are the Key Whitening Agents Used in Dental Bleaching?

The primary whitening agents used in professional teeth whitening include:

  • Hydrogen Peroxide: A powerful bleaching agent that effectively removes deep stains and discoloration.

  • Carbamide Peroxide: A compound that breaks down into hydrogen peroxide, providing a gentler whitening effect over a longer period.

  • Effectiveness: Both agents are clinically proven to deliver significant results, with hydrogen peroxide typically offering faster results.

How Does Professional Whitening Differ from Over-the-Counter Products?

Professional whitening treatments differ significantly from over-the-counter products in several ways:

  • Strength of Agents: Professional treatments use higher concentrations of whitening agents, leading to more effective results.

  • Professional Supervision: Dentists monitor the procedure, ensuring safety and optimal results tailored to individual needs.

  • Results Comparison: Patients often experience quicker and more dramatic results with professional treatments compared to OTC options.

Which Types of Professional Teeth Whitening Are Available in Tulsa?

In Tulsa, various professional teeth whitening options are available to suit different preferences and needs.

What Are the Benefits of In-Office Teeth Whitening like Zoom and Opalescence Boost?

In-office teeth whitening treatments, such as Zoom and Opalescence Boost, offer several advantages:

  • Immediate Results: Patients can achieve a brighter smile in just one visit, often within an hour.

  • Professional Supervision: Dentists ensure the procedure is safe and effective, minimizing the risk of sensitivity or damage.

  • Safety Measures: Protective barriers are used to shield gums and soft tissues during the treatment.

How Do Custom Take-Home Whitening Kits Work for Gradual Results?

Custom take-home whitening kits provide a more gradual approach to teeth whitening. These kits typically include:

  • Customization: Dentists create custom-fitted trays that ensure even application of the whitening gel.

  • Ease of Use: Patients can use the kits at their convenience, following specific instructions for optimal results.

  • Expected Results Timeline: Gradual whitening allows for a more controlled outcome, with results visible over a few weeks.

Research highlights the effectiveness and safety of professionally supervised at-home whitening methods.

Professional At-Home Teeth Whitening: Efficacy & Safety

Current methods for at-home whitening include materials prescribed by dental professionals, bleaching products available over the counter to use without the involvement of a dental professional, and “do-it-yourself” methods widely advertised on the Internet. This chapter compares the efficacy of the most popular at-home whitening techniques, including dental professional-prescribed at-home tray whitening with carbamide peroxide (a precursor of hydrogen peroxide), over-the-counter whitening, and combined in-office with at-home tray whitening. At-home tooth whitening with a custom-fitted tray is the safest and most effective technique if carried out under the supervision of a dental professional.

At-home tooth whitening, J Perdigão, 2016

What Can You Expect During the Teeth Whitening Procedure?

Understanding the teeth whitening procedure can help alleviate any concerns you may have.

How Is the Consultation and Assessment Conducted?

The initial consultation involves:

  • Initial Assessment: Dentists evaluate your oral health and discuss your whitening goals.

  • Shade Matching: A baseline shade is recorded to measure the effectiveness of the treatment.

  • Patient Goals Discussion: Dentists tailor the treatment plan based on individual preferences and needs.

What Are the Steps Involved in the Whitening Treatment and Post-Care?

The whitening treatment typically involves several key steps:

  • Preparation Steps: Teeth are cleaned, and protective barriers are applied to the gums.

  • Application Process: The whitening agent is applied to the teeth, often activated by a special light or laser for enhanced results.

  • Post-Treatment Care: Dentists provide instructions on how to care for your teeth after the procedure to maintain results.

How Much Does Professional Teeth Whitening Cost in Tulsa and What Financing Options Are Available?

The cost of professional teeth whitening can vary based on several factors.

What Factors Influence the Cost of Teeth Whitening Services?

Several factors can influence the overall cost of teeth whitening services, including:

  • Type of Treatment: In-office treatments generally cost more than take-home kits due to the professional supervision involved.

  • Number of Sessions: Some patients may require multiple sessions for optimal results, affecting the total cost.

  • Location: Prices may vary based on the dental practice's location and reputation.

Which Flexible Payment Plans and Insurance Options Does Tulsa Time Dental Design Offer?

Tulsa Time Dental Design offers various financing options to make teeth whitening more accessible:

  • Payment Plans: Flexible payment plans allow patients to spread the cost over several months.

  • Insurance Partnerships: Most dental insurance plans do not cover cosmetic teeth whitening; however, some may cover whitening if it is part of a medically necessary treatment.

  • Discounts Available: Special promotions may be offered periodically to reduce the overall cost.

Is Professional Teeth Whitening Safe for Sensitive Teeth?

Many individuals with sensitive teeth may wonder about the safety of professional whitening treatments.

How Does Tulsa Time Dental Design Manage Sensitivity During Whitening?

Tulsa Time Dental Design employs several strategies to manage sensitivity:

  • Desensitizing Agents: Special formulations are used to minimize discomfort during the whitening process.

  • Patient Comfort Measures: Dentists monitor patients closely and adjust treatment as needed to ensure comfort.

  • Consultation Adjustments: Individualized treatment plans are created to address specific sensitivity concerns.

What Gentle Whitening Options and Desensitizing Treatments Are Available?

For those with sensitive teeth, gentle whitening options include:

  • Gentle Whitening Products: Formulations designed specifically for sensitive teeth can provide effective results without discomfort.

  • Post-Treatment Care: Dentists recommend specific aftercare products to help maintain comfort and results.

  • Patient Feedback: Continuous feedback during the treatment allows for adjustments to enhance comfort.

How Can You Maintain Your Brighter Smile After Teeth Whitening?

Maintaining your newly whitened smile is essential for long-lasting results.

What Are the Best Practices for Long-Lasting Whitening Results?

To keep your smile bright, consider these best practices:

  • Avoiding Staining Foods: Limit consumption of foods and beverages that can stain teeth, such as coffee, tea, and red wine.

  • Regular Dental Check-Ups: Schedule routine cleanings to remove surface stains and maintain oral health.

  • Using Touch-Up Kits: Consider using touch-up whitening kits as needed to maintain brightness.

How Do Dietary Choices and Oral Hygiene Affect Your Smile's Brightness?

Your dietary choices and oral hygiene play a significant role in maintaining your smile:

  • Foods to Avoid: Certain foods can contribute to staining, so it's essential to be mindful of your diet.

  • Importance of Brushing: Regular brushing and flossing help remove plaque and prevent discoloration.

  • Hydration: Staying hydrated can help maintain saliva production, which naturally cleanses the mouth and protects against stains.

Professional teeth whitening is a safe and effective way to achieve a brighter smile. By understanding the different types of treatments available, the costs involved, and how to maintain your results, you can confidently pursue your journey to a more radiant smile.

Achieve Your Brightest Smile at Tulsa Time Dental Design

Ready to transform your smile with dramatic, lasting results? Contact Tulsa Time Dental Design today to schedule your professional teeth whitening consultation. Our expert cosmetic dental care team in Tulsa offers a range of safe and effective whitening options, including in-office treatments and custom take-home kits, all designed to fit your unique needs. We also provide affordable pricing and flexible financing options to make your dream smile a reality. Call us at 918-749-3311 and take the first step towards a more confident, radiant you!

Previous
Previous

Experience Fast & Convenient CEREC Crowns in Tulsa Today

Next
Next

How to Handle Your Lost Filling or Crown Safely